Disable Preloader
+91-98141-10990
query@goyaldental.com
Call us today!
+91-97805-31898
Mon-Sat
9:30am - 2:00pm
4:00 pm - 7:00pm
Home
About Us
About Goyal Dental
Clinic Tour
Dental Tourism
Our Faclities
Know Our Team
Services We Offer
Dental Care
Gallery
Testimonial
FAQ's
Contact
Make An Appointment
×
Make an Appointment
Message for the Doctor
Send Message
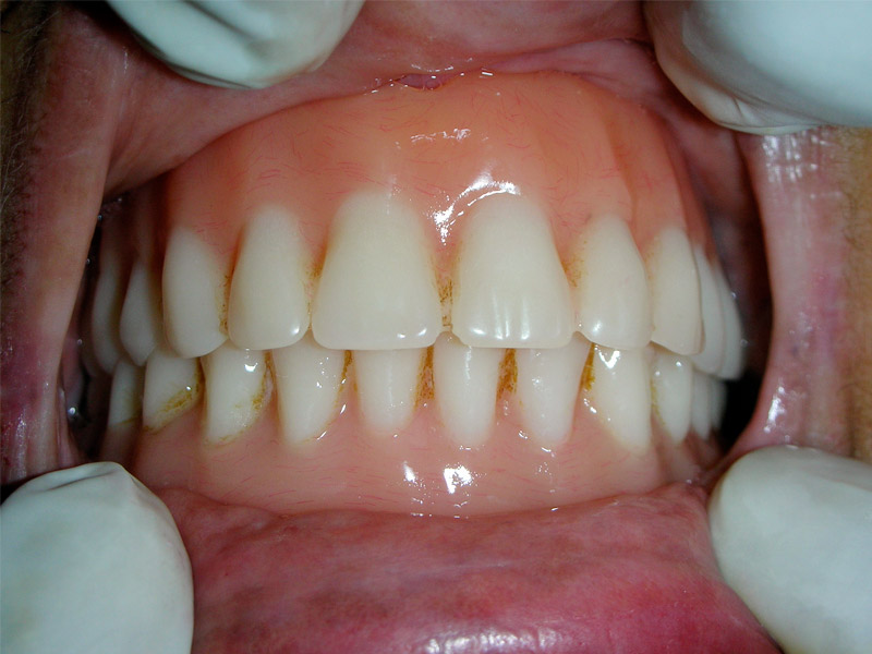
Dentures Retained
By Implants
Home
Gallery
Dentures
Dentures Retained By Implants